If you have diabetes, you probably know how important it is to manage your blood sugar. Poorly controlled diabetes may lead to problems with your kidneys, heart and limbs. But did you know that diabetes can also have a serious impact on your eyesight? High blood sugar can silently damage your eyes over time, leading to vision problems and even blindness. Because these changes often happen gradually, many people may not realise their vision is at risk until the damage has become irreversible. The good news? You have the means to protect your eyes! Here is what you need to know to keep your eyes healthy when living with diabetes.
FIVE WAYS DIABETES HARMS YOUR EYES
There are five ways in which diabetes can harm your eyes. They include: Damage to the Retina (Diabetic Retinopathy) If your eye is a camera, then think of the retina as the camera sensor – it captures images and sends them to your brain. But constantly high blood sugar can damage the tiny blood vessels in your retina, causing them to bleed or become blocked. This can lead to dark spots and blurry vision. If left untreated, abnormal blood vessels may also form on the retina, increasing the risks of further bleeding, retinal detachments and even blindness.
Treatment of diabetic retinopathy may include laser therapy and injections of medications into the eye. In advanced cases with excessive bleeding or retinal detachments, surgery may even be needed. It is important to understand that damage to vision may be irreversible, in spite of treatment. As diabetic retinopathy often progresses without symptoms in its early stages, regular eye examinations are critical in its early detection and treatment before permanent damage is done to the eyes.
Swelling of the Macula (Diabetic Macular Edema) The macula is the central part of the retina, and is responsible for fine, sharp vision. Eyes affected by diabetic retinopathy can also have swelling of the macula, due to fluid leaking from damaged blood vessels. This leads to a blurry patch in the central vision, making it difficult to read, recognise faces or drive safely. People with diabetic macular edema may also feel their vision becoming distorted, with straight lines appearing wavy. Similar to diabetic retinopathy, treatment of diabetic macular oedema may include laser therapy and injections into the eye. If left untreated, this condition can result in permanent vision impairment, significantly affecting one’s work and daily activities.
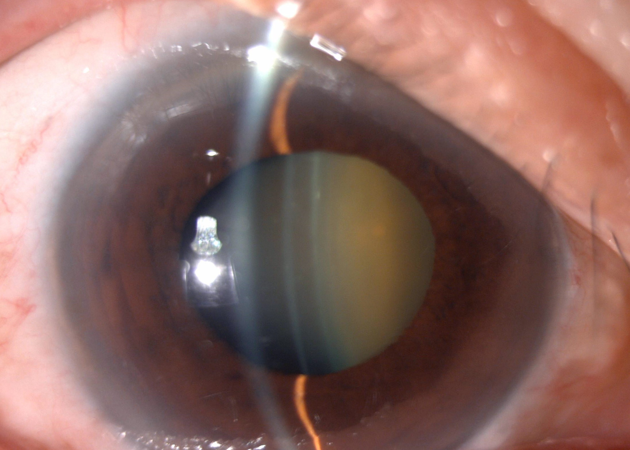
Cataracts: Clouding of the Eye’s Lens
The natural lens in our eyes helps to focus light onto the retina, but clouding of this lens reduces the amount of light that enters our eyes and disrupts this focus. This clouding of the lens is known as a cataract, and can result in foggy, blurry or discoloured vision. Cataracts typically develop with age, but people with diabetes often experience them earlier in life, and the cataracts may worsen at a faster rate if diabetes control is poor.
If cataracts affect your ability to work, enjoy your hobbies or carry out your daily activities, then cataract surgery may be required to restore clear vision. While cataract surgery is a safe and effective procedure, patients with poorly controlled blood sugar levels may face a slightly higher risk of complications, including infection, inflammation, or worsening of existing diabetic retinopathy and macular oedema.
Increased Risk of Glaucoma
Glaucoma is a condition that damages the optic nerve, the “cable” that links your eyes to your brain. Studies suggest that diabetes may double your risk of developing glaucoma, which can lead to gradual, irreversible vision loss if left undetected or untreated. Since it often has no early symptoms, many people do not realise they have glaucoma until they have already lost some vision.
Increased pressure inside the eye is a major risk factor for glaucoma, and diabetes can make this pressure harder to control. Regular eye examinations are the best way to catch this early, and treatment options such as medications, laser treatments and surgery can slow down or stop further damage to the optic nerve.
Sudden Changes in Vision
If your blood sugar levels are unstable, you may notice sudden shifts in your eyesight. This happens because high sugar levels can cause the lens inside your eye to swell, temporarily changing its shape and making it harder to focus. This results in blurry vision that seems to come and go. As your blood sugar stabilises, vision will usually return to normal, but frequent fluctuations can be worrying and frustrating. If you experience sudden vision changes, it is important to check your blood sugar levels and to consult an eye specialist if the problem persists.

Sphygmomanometer with red heart and stethoscope on white background
THREE WAYS TO KEEP YOUR EYES HEALTHY
There are three ways in which you can keep your eyes healthy, including: Keep Diabetes, Blood Pressure and Cholesterol in Check While poor control of blood sugar is the primary cause of diabetic eye disease, high blood pressure and cholesterol can also contribute to the development of these eye problems. Keeping these conditions under control will protect the tiny blood vessels in your eyes from damage. Eating a healthy and balanced diet, getting regular exercise, and taking your medications as prescribed can make a huge difference in maintaining your health and preserving your vision. Your doctor will also help you to monitor your HbA1C levels, which provide a long-term picture of your blood sugar control.
Quit Smoking

Furthermore, smoking can inflict direct damage to the cells and blood vessels in our eyes, which can worsen diabetic retinopathy and macular oedema, as well as raise the risk of cataracts and glaucoma. When you stop smoking, not only do you significantly lower the risk of developing these eye conditions, it also improves your overall health as well!
Go for Regular Eye Examinations

Consultation with an ophthalmologist. Medical equipment. Coreometry
Many diabetes-related eye diseases develop without obvious symptoms, so early detection is crucial. For patients at low risk of eye problems, a yearly retinal photograph with your family physician may suffice. For others, your family physician may recommend that a regular eye examination with an eye doctor may be more appropriate.
During the eye consultation, your eye doctor will dilate your eyes with eyedrops, in order to detect signs of diabetic retinopathy, macular edema, cataracts and glaucoma. Make it a habit to see your eye doctor at least once a year, or more frequently if you already have diabetic eye complications or other concurrent eye problems.
TAKE ACTION TODAY!
Diabetes does not have to mean losing your eyesight. By controlling your blood sugar, maintaining a healthy lifestyle and keeping up with regular eye check-ups, you can take control and protect your vision for years to come. If you have diabetes, make eye health a priority today, because seeing the world clearly is worth every effort. PRIME






Leave A Comment